ARDMS AB-Abdomen - Abdomen Sonography Examination
Which foreign body is better visualized with sonography than computed tomography (CT)?
Which technique would best assist the sonographer to verify the finding in this image obtained from the right upper quadrant?

Which sonographic finding is associated with normal postprocedural Doppler of a transjugular intrahepatic portosystemic shunt (TIPS)?
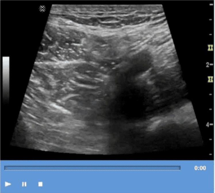
Which technique is used to demonstrate the finding in this video?

Which is the most common pancreatic cancer?
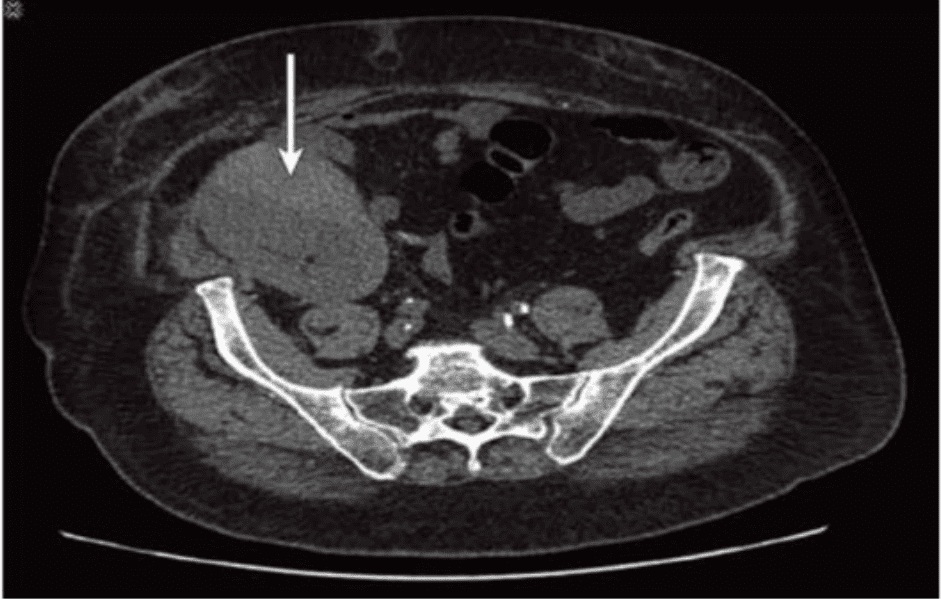
Which condition of the transplant kidney is indicated by the arrows on these images?


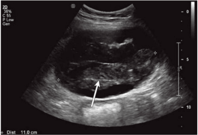
Which sonographic appearance of the bile ducts is demonstrated in this image?

How are portal veins differentiated from hepatic veins?
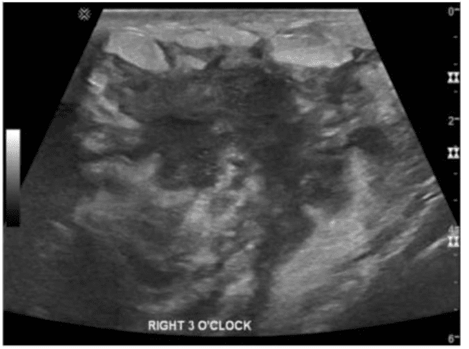
Which condition is demonstrated in this image of a febrile patient with breast redness and tenderness?

Which vessel is located directly proximal to the origination of the renal arteries?
