ARDMS AB-Abdomen - Abdomen Sonography Examination
Which arteries are the immediate branches of the celiac trunk?
Which scanning technique would best reduce reverberation artifact when assessing the gallbladder?
A patient presents with right lower quadrant pain and fever. Which condition is most likely indicated by the arrow on this image?

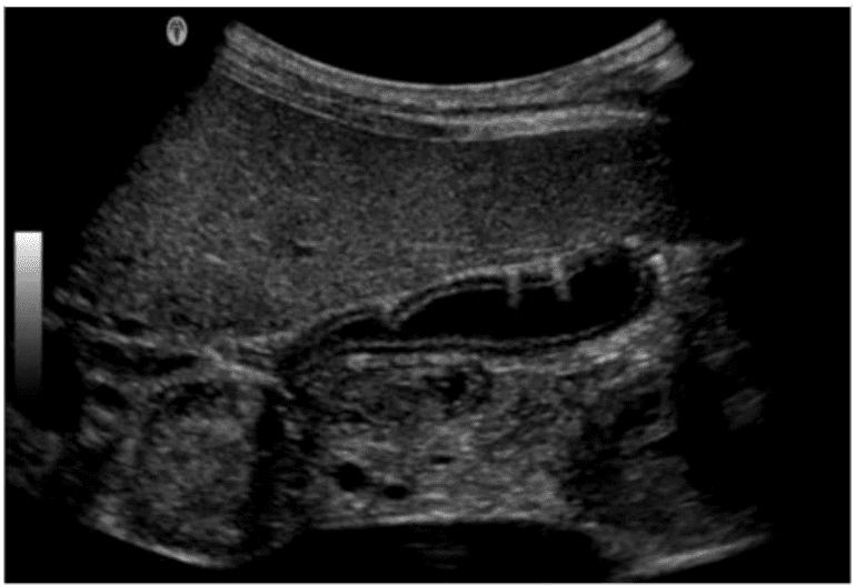
Which condition is most consistent with the findings in the image below?

Which type of artifact is indicated by the arrows on this image?

Which cause of transudative pleural effusion is most common?
Which is the most likely etiology of a spherical mass near the splenic hilum that is isoechoic to the normal spleen in a 55-year-old female?
Where in the neck are most thyroid cancer recurrences found?
Which condition is a common cause of biliary duct obstruction?
Which condition is most likely depicted in this image?

