ARDMS AB-Abdomen - Abdomen Sonography Examination
Which congenital anomaly is characterized by the failure of the dorsal and ventral pancreatic buds to fuse?
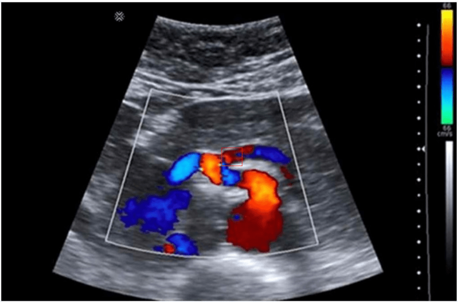
Identify the region where Doppler sampling should be performed in a young woman with severe postprandial pain.

Which thyroid condition is most likely caused by a viral infection?
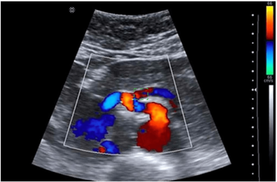
The absence of which sonographic finding indicates the acute process depicted in these images?

Which term refers to the testicular capsule?
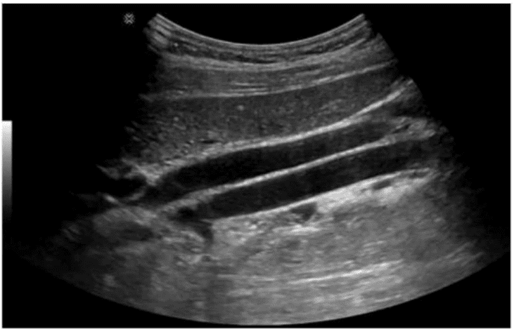
Which scanning approach was utilized to obtain this image?

What is the most common cause of nutcracker syndrome?
Which clinical indication is most consistent with the finding depicted in this image?

Elevation of alpha-fetoprotein levels is a characteristic finding in which tumor?
Which condition is characterized by abnormal dilatation of veins of the pampiniform plexus and most commonly affects the left testicle?


A ultrasound image of a person's body
AI-generated content may be incorrect.