ARDMS AB-Abdomen - Abdomen Sonography Examination
Which sonographic finding indicates the need for immediate surgical intervention following testicular trauma?
Which condition is most consistent with thinning of the renal cortex, reduction in renal length, and prominence of the renal sinus fat in a patient presenting four months after renal transplant with slightly reduced renal function?
Which abnormality is the most common adult adrenal tumor?
Which portion of the biliary system is last to become dilated with biliary obstruction at the ampulla of Vater?
Which change of the inferior vena cava spectral Doppler waveform is expected superior to a nonocclusive thrombus?
Where is the main pancreatic duct located?
Which normal anatomical structure is also known as the accessory pancreatic duct?
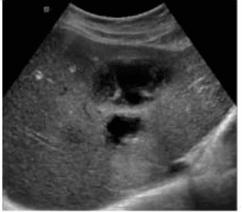
Which abnormality is depicted in this image of a patient who presents with a fever following a liver biopsy?

Which structures converge to form the inferior vena cava?
Which sonographic finding is commonly associated with transitional cell cancer of urinary bladder?
