ARDMS AB-Abdomen - Abdomen Sonography Examination
Which type of hernia is located medial to the inferior epigastric artery?
Which malignancy most commonly metastasizes to the testes?
Which liver neoplasm is associated with use of oral contraceptives and is most often seen in women under the age of 40?
Which sonographic feature is typical of a thyroid adenoma?
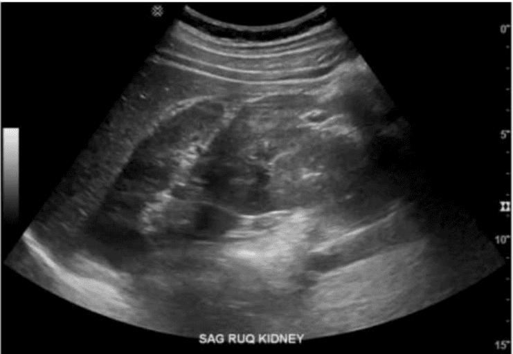
Which renal anomaly is demonstrated on this image?

Which retroperitoneal finding is most likely associated with trauma?
What is the adrenal disorder that produces excessive secretion of aldosterone?
Which condition is a cause of intrahepatic dilatation with a normal common bile duct?
What is a major advantage of power Doppler over color flow Doppler?
