ARDMS AE-Adult-Echocardiography - AE Adult Echocardiography Examination
Total 137 questions
Mid to distal septal akinesis in post-stress imaging of the apical four-chamber view is suggestive of disease in which coronary artery?
The variables necessary to calculate mitral regurgitant (MR) effective orifice area by the proximal isovelocity surface area (PISA) equation include MR aliasing hemispheric radius, the aliasing velocity, and which other parameter?
Which statement is most accurate regarding cardiac contusion?
Which finding is NOT associated with severe mitral valve regurgitation?
Which phase of the cardiac cycle is indicated by the arrow on this image?

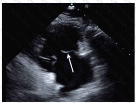
Which anatomic structure is represented by the arrow on this image?

What minimum number of poorly-visualized contiguous left ventricular (i_V) regional wall segments indicate the use of contrast agents for LV endocardial border definition?
Where would a Swan-Ganz catheter be best visualized?
Which method of measuring left atrial size is most recommended and most accurate?
In cardiac tamponade, how do transvalvular pressure gradients change during expiration?
