ARDMS AE-Adult-Echocardiography - AE Adult Echocardiography Examination
Total 137 questions
Which maneuver aids in uncovering potential diastolic dysfunction while performing pulsed wave Doppler of the mitral valve?
Which type of valvular lesion most commonly requires further evaluation with a non-imaging transducer?
Which view is best used to evaluate a bicuspid aortic valve?
Which technique best determines a trileaflet aortic valve from a bicuspid aortic valve?
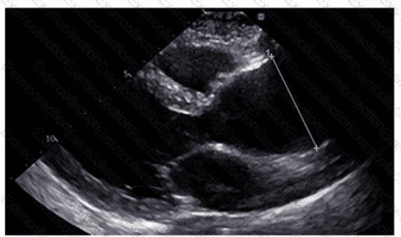
Which region of the aorta is being measured to assess the critical finding in this image?

Which method is appropriate for measuring the left atrial diameter in parasternal long axis?
Which hepatic vein flow pattern signals severe tricuspid regurgitation?
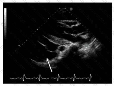
Which finding is indicated by the arrow on this image?

A patient presents in the emergency room with a history of chronic high Wood pressure and new onset severe back pain. A physical exam reveals a new diastolic murmur. Which would be the most likely finding?

